Achilles Tendon Dysfunction

There are many pathologic changes that may occur in the Achilles’ tendon. Tendonitis, which may be insertional (where the tendon attaches to the heel bone) or non-insertional, and acute rupture of the tendon are 2 of the more common conditions that may require operative intervention.

Insertional Tendonitis

Inflammation of the Achilles’ tendon where it inserts into the calcaneus (heel bone) is known as insertional tendonitis. It is often associated with an abnormal bony prominence just deep to the tendon known as Haglund’s deformity or pump bump. This may play a role in rubbing on the deep aspect of the tendon to cause pain and inflammation in the tendon and surrounding soft tissues. If large enough, it can also rub on footwear or even prevent the wearing of certain shoes.

Non-Operative Management

Initial management of this condition includes activity modification/rest, ice, stretching exercises, anti-inflammatories, and heel lift orthoses. A medial arch support may be of assistance by decreasing over-pronation that may exacerbate symptoms. Corticosteroid injections should be avoided due to increased risk of tendon rupture.

Operative Management

The form of operative management is dependent on the degree of involvement of the Achilles’ tendon. When the tendon is not significantly involved, this condition can be managed arthroscopically. This involves 2 keyhole incisions next to the tendon through which a small camera and instrumentation can be inserted. The bursa (fluid containing sack deep to the tendon that will also be inflamed) is firstly excised, followed by the Haglund’s deformity, and finally the deep surface of the tendon is inspected. The advantage of this technique over an open (large incision) procedure is that the rehabilitation period can be accelerated.

If the Achilles’ tendon demonstrates extensive involvement on pre-operative scans or unexpectedly on arthroscopy, or if the Haglund’s deformity is too large to be safely removed by arthroscopic means, an open procedure is required. This allows removal of diseased tissue from within the Achilles’ tendon, safe excision of a large deformity, and repair of the tendon to the calcaneal bone.

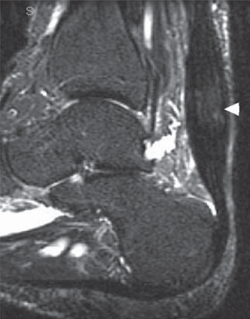
Haglund’s Deformity

Non-Insertional Tendonitis

Non-insertional tendonitis is inflammation in and around the Achilles’ tendon higher up the leg from the heel.  It most commonly occurs in association with running and jumping sports where forces in the Achilles’ tendon can increase to 10 times body weight. It can also occur in association with overuse syndromes, postural problems, poor footwear, or an underlying inflammatory condition that may affect multiple joints in the body.

Patients usually experience pain approximately 2-6 cm further up the leg from the heel. This may even occur at rest and/or at night. Over time, the tendon becomes thickened and an abnormal lump may be felt in the same area.

Non-Operative Management

Initial management is similar to that of insertional tendonitis. A walking boot or shock wave therapy may also be advised. If symptoms have gone on longer than 6 months, this condition becomes very difficult to manage non-operatively as the tendon will have started to degenerate. Accordingly, when non-operative measures have failed or more than 6 months has elapsed, operative management is indicated.

Operative Management

Keyhole surgery is not possible for this condition, with a large incision needing to be made at the back of the lower leg. The diseased tendon and surrounding tissue is removed and the remaining healthy tendon is refashioned to bridge the defect.

Often in order to assist the achilles to recover a near-by tendon is harvested to reinforce the strength of the Achilles’ tendon. This tendon normally functions to flex the big toe. It is not often missed as other muscles take over its function. 

Acute Achilles’ Tendon Rupture

Rupture of the Achilles’ tendon may follow a period of pain prior to rupture. The actual inciting event however, is usually mechanical stress with a rapid loading of an already-tensed tendon, e.g. lunging forward from a standing start, unexpected stepping in a hole, or jumping from a height. Whatever the cause, patients often describe a sudden pain likened to being kicked in the back of the ankle/lower leg, which may be accompanied by an audible pop.

Non-Operative Management

Non-operative management involves placing the leg in a below knee cast with the toes pointed. This is then exchanged for a post-operative boot and heel wedging with a plan for progressive graduated use of the leg and reduction in heel wedge height over 8-12 weeks.

There is a risk of morbidity and associated higher re-rupture rate (11%) and weakness following non-operative management but avoids risks of complications from surgery. 

Operative Management

An operation involves an incision at the back of the leg, and the 2 tendon ends are sewn back together. Very occasionally a strong direct repair is not possible due to significant damage in the tendon upon rupture. In this situation, a spare tendon in the back of the leg or hamstring tendon may be required to augment the repair.

Complications

A good result can be expected in 90 to 95% of patients, however no surgery is risk free. The risks and complications will be assessed and discussed with you. There is always a small risk of infection, blood clots, poor wound healing and anaesthetic problems with lower limb surgery and measures are taken to reduce these. Recovery times also vary and swelling is often individual.

Recovery Times

Open procedure

Rest & elevation 2 weeks

Crutches/frame 4 weeks

Plaster 2 weeks

Boot with heel raise 4 weeks

Heel raise in own shoe 4 weeks

Weight bearing

– None 2 weeks

– Partial 2 weeks

– Full 4 weeks post-op+

Time off work

– Seated 2 weeks

– Standing 6 weeks

Take the next step to a pain free life.

Book a consultation today for expert orthopaedic care.