Ankle Arthritis

Ankle arthritis is usually a slowly progressive condition caused by loss and wear of the cartilage coating of the ankle joint. The most common cause is previous trauma or instability, but may also  occur as part of a more widespread process such as rheumatoid arthritis, haemophilia, or gout.

Regardless of the cause, the effect is similar. There is a narrowing of the ankle joint space between the tibia (shin bone) and the talus (ankle bone) and bony spurs (osteophytes) develop. The ankle becomes painful, stiff, and may ‘grind’ or lock. Even though ankle arthritis is less prevalent than arthritis affecting the knee and hip, it can be equally debilitating and painful.

 

Non-Operative Management

Early or mild ankle arthritis is effectively treated with simple measures such as activity and lifestyle modification. These include losing weight, using walking aids such as an ankle support or walking stick, and avoiding impact activities such as jumping and running. Low impact activities such as cycling, swimming, and walking are recommended.

When arthritis becomes more severe gentle pain killing medications may be required and may be combined with physiotherapy, orthotics (shoe inserts), shoe modifications (rocker-bottom sole and high cut footwear), ankle bracing or a custom fitted splint. Sometimes injections of cortisone or a lubricant (hyaluronate) may offer relief. However as with all treatments, the degree and extent of relief varies from patient to patient.

Operative Management

When the previous measures fail, there are 3 main surgical options. These are arthroscopic debridement, joint arthrodesis (fusion), and joint replacement. The best option for an individual patient depends upon many factors including the severity of arthritis, the age and functional demands, and the presence of arthritis in other joints. The ultimate choice is a combined decision between surgeon and patient.

Arthroscopic Debridement

This is a day case procedure with a relatively rapid recovery (6-12 weeks). A small camera and surgical instruments are inserted through keyhole incisions. It is generally most suitable for early arthritis. Bone spurs and loose bodies can be removed, and irregularities in remaining cartilage may be tidied up.

However, as the underlying arthritic process is still present the response to surgery is variable. Around 70% will experience an improvement in symptoms but in around 2% of patients, the procedure may accelerate the deterioration. This may mean that further surgery is required sooner than initially expected. The duration of symptomatic improvement is unpredictable.

Total Ankle Replacement

This is a relatively new procedure compared to hip and knee replacement and was not very successful until the creation of the latest generation of implants. One metal component is fixed to the tibia and the other to the talus. The third component is a polyethylene (dense plastic) bearing which glides between the other 2.

When compared with an ankle fusion, it provides a similar level of pain relief and may preserve some of the pre-operative ankle motion. It is best suited for more elderly patients (over 65) with lower physical demands and a well-aligned ankle. The indications and longevity of ankle replacement surgery is still being studied.

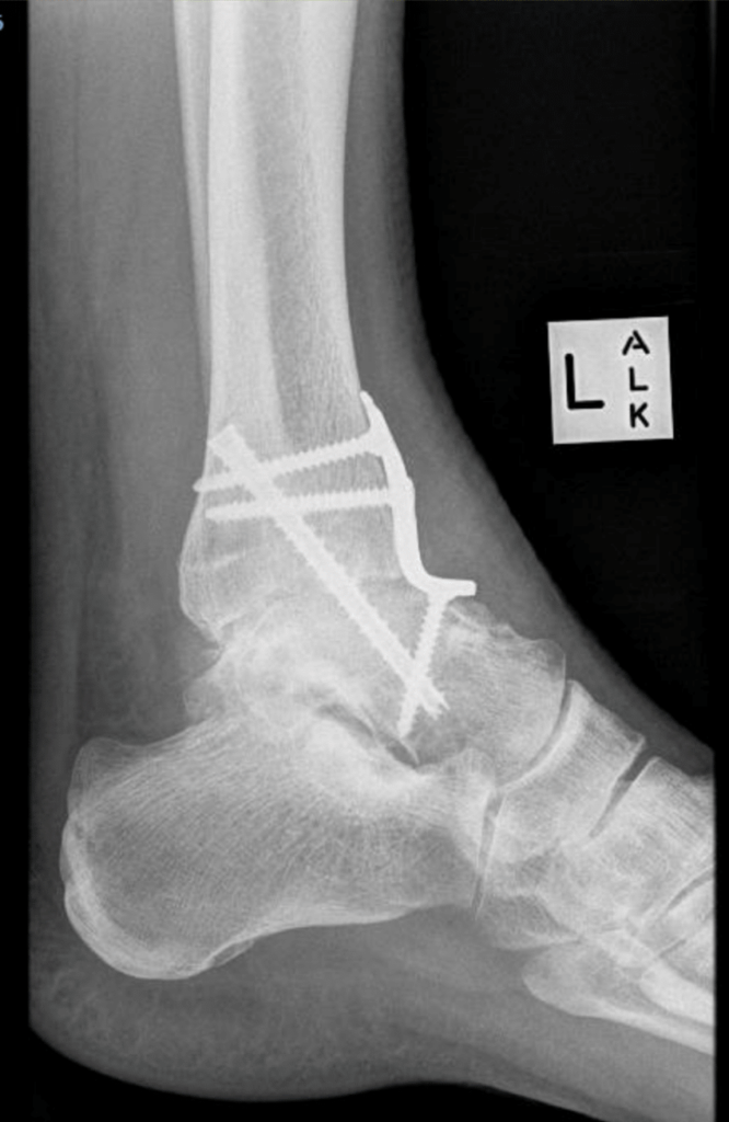
Ankle Arthrodesis

This has been the “gold standard” treatment for severe arthritis. The surgical technique involves removing bone from the tibia and talus and holding them together with screws and or plates. Eventually, the ends of the bones grow or fuse together. Even though ankle motion is eliminated, adjacent joints compensate and may allow up to 30% of this motion to return. However the increased load across these other joints can cause arthritis to develop and up to 10% of patients will require fusion of other joints at some stage in the future.

In the past, this procedure was performed through large incisions. In most cases this can now be carried out using an arthroscopic technique or small incisions in most cases. This results in less pain and a more rapid recovery. In more deformed ankles or following previous surgery, an open technique may still be necessary.

The main role of fusion is in younger patients with higher physical demands and in whom the ankle is the only affected joint. In these circumstances a successful fusion is very reliable in providing long-term pain relief that results in a limp free gait and allows return to more physical work.

Potential complications will be discussed with you but in general 90% of patients are satisfied. 3% of patients will require further surgery due to failure of the bones to fuse, and 10% may require surgery elsewhere in the foot for arthritis. Recovery times and swelling also vary.

Recovery Times (Arthrodesis)

Hospital stay 1-2 nights

Rest & elevation 10-14 days

Half-cast/backslab 2 weeks

(non-weight bearing)

Full cast or boot 6 – 8 weeks

(non-weight bearing)

Walking boot 8-12 weeks

(full weight bearing)

Crutches/frame 8-12 weeks

Take the next step to a pain free life.

Book a consultation today for expert orthopaedic care.