Patella Instability

Instability of the patella is a common problem particularly in the growing skeleton and can result from trauma or underlying conditions such as loose ligament tissues, poor musculature or anatomic differences around the knee or lower limb. Most cases present with episodes of dislocation of the kneecap (patella) to the outer side of the leg and are initially managed with physiotherapy and/or a period of bracing of the knee.

Assessment of the injured structures and the anatomy of the knee requires imaging and assessment of the joint and often the entire lower limb.

Non-Operative Management

The main aims are to relieve pain and apprehension, improve surrounding stabilisation muscles and protect the knee from re-injury and may involve taping, bracing and structured rehabilitation provided by a physiotherapist.

Operative Management

Surgery is considered when the previous measures fail and there is ongoing irritability or recurrent dislocations of the patella. 

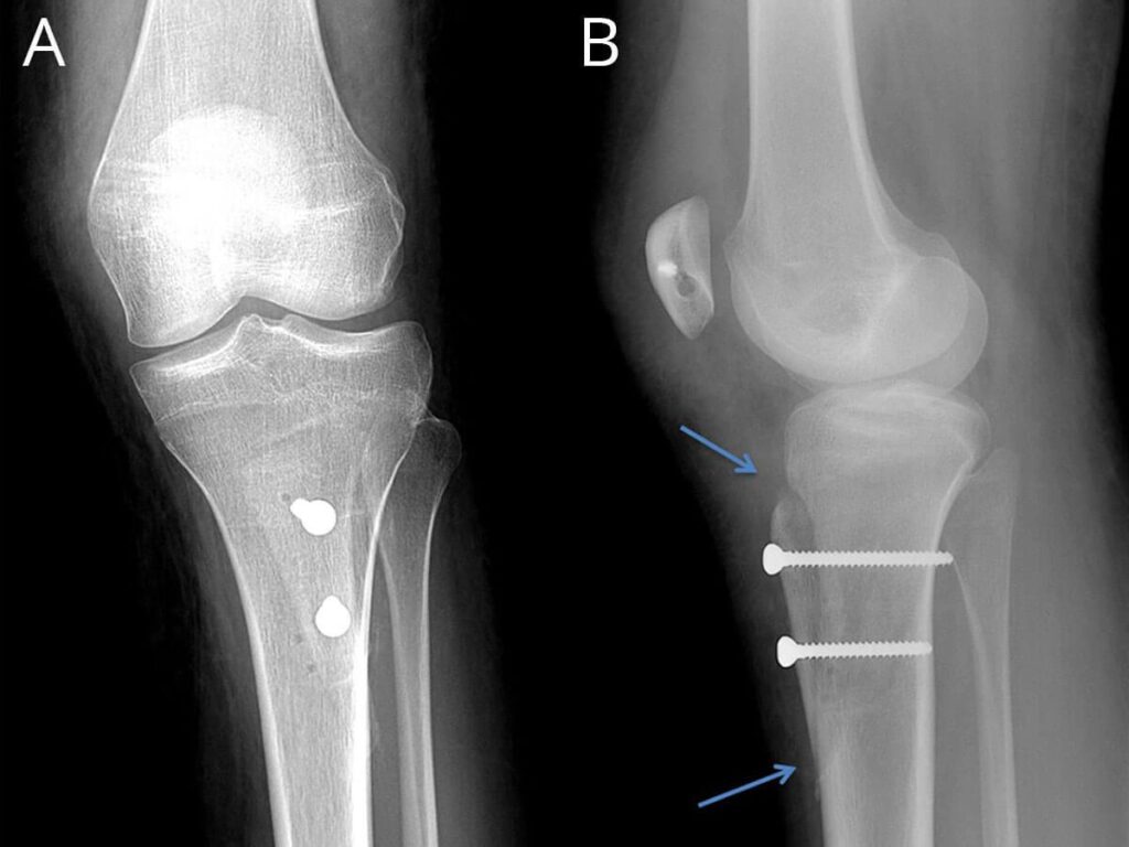
Surgical options range from arthroscopy (key hole) surgery to address tight or loose tissue and possible patella cartilage issues to open reconstruction of ligaments or alteration of the pull of muscles by moving their attachments along with a block of bone and securing this with screws in the same way as a bony fracture is fixed.

Bracing, crutches and physiotherapy are required after surgery for patella instability and swelling of the knee will occur for many months. A program of muscle maintenance is essential to ensure that the supporting structures of the knee don’t weaken during the recovery period. Initially the knee is limited in its range of motion to protect the repaired tissues and motion is gradually increased with supervision. A synthetic ligament augment is often used to support the tissues especially in those with more lax ligaments.

Complications

Less than 5% will develop a complication that may require further intervention, however recovery times and risks of surgery vary depending on the surgery that is required. These include wound-healing problems, infection, damage to nerves and blood vessels, incomplete relief of symptoms, recurrent instability and  failure of the bones to heal. Recovery times and swelling also vary greatly depending on  the interventions required.

Recovery Times

Hospital stay 1 night

Rest & elevation 14 days

Crutches/frame 6 weeks

Time off work

– Seated 3-4 weeks

– Standing 6-8 weeks

Result times (pain relief & function)

– Good 3 months

– Better 6 months

– Best 12 months

Take the next step to a pain free life.

Book a consultation today for expert orthopaedic care.