Hallux Valgus

(Bunions)

Bunions are a common forefoot deformity in the community. They are thought to occur due to a muscle imbalance that is often inherited. Inappropriate footwear may exacerbate the condition, however is not usually the underlying cause. Bunions worsen with advancing age and can eventually cause pain and deformity.

The bunion may also result in overload and damage other parts of your feet. Pain is felt because of the size of the bony prominence and abnormal loading of the foot. The time to have treatment is when they cause significant pain, or you have difficulty in finding comfortable footwear.

Operative Management

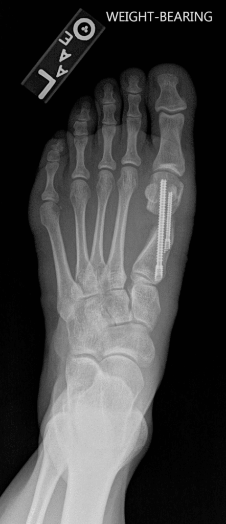
The common operative treatments of bunions involve bony correction through cuts of bone and fixation with screws as well as release of tight tissue structures and tightening of loose ones. Many operations for bunions have been tried over the years with varying levels of success. Techniques often vary from patient to patient depending on anatomy and bony alignment as well as soft tissue laxity.

More modern techniques involved smaller incisions and the use of specialised burrs and screws to minimise tissue damage. Several options for the different presentations of bunions exist and a discussion of the right techniques for your condition is required.

The metalwork used for fixing the bones may occasionally need to be removed. Recovery times and swelling vary from patient to patient.

Post-Operative Management

Immediate weight bearing is possible in a post-operative stiff soled shoe and plaster is not required. The way your foot has been bandaged assists in holding the big toe in place, with the post-operative shoe protecting the toe when you walk. This takes the place of a plaster and accordingly is required for between 4 and 6 weeks. As with all foot surgery, swelling occurs and this is the main limitation to activity and footwear in the early stages. Swelling often increases over a 6-week period and then reduces over a further 6 weeks. As such your final result will begin 3 months after surgery. As the mechanics in your foot have been substantially changed, your body will go on making subtle adjustments over a 12-month period.

Complications

No surgery is risk free. The risks and complications will be assessed and discussed with you. There is always a small risk of infection, blood clots and anaesthetic problems with lower limb surgery and measures are taken to reduce these. In bunion surgery there is also a 5% chance of recurrence of the deformity, overcorrection of the big toe, or problems with bone fixation. Very rarely, the toe can become numb or hypersensitive for a prolonged period. A successful outcome is achieved in more than 90% of patients.

Recovery Times

Hospital stay 1 night

Rest & elevation 2 weeks

Foot swelling 12 weeks

Time off work

– Seated 2-4 weeks

– Standing 6-8 weeks

Shoes

– Hospital 6 weeks

– Wide 6-12 weeks

– Normal 12 weeks

– ‘Fashionable’ Up to 6 months

Take the next step to a pain free life.

Book a consultation today for expert orthopaedic care.