Hallux Rigidus

(Big Toe Arthritis)

Hallux rigidus (HR) refers to stiffness and pain in the joint at the base of the great toe (hallux). This joint is called the metatarsophalangeal joint (MTPJ). The usual cause of HR is arthritis and loss of the cartilage that lines the joint. HR may be caused by a previous injury, or it may be part of a general medical condition such as gout or rheumatoid arthritis. Often the cause is unknown.

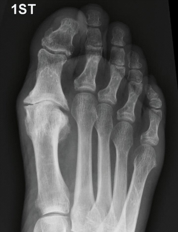
HR presents with stiffness and pain in the great toe MTPJ. If the symptoms are severe, it may limit walking distance, and compromise work and recreational activities. Bony spurs (osteophytes) develop around the great toe MTPJ and can cause pain by rubbing against tight fitting shoes. In an attempt to off-load the painful great toe, some people will preferentially walk on the outer border of the foot, causing transfer pain to the lesser toes.

Non-Operative Management

The main aims are to relieve pain and decrease loading and movement through the great toe MTPJ. Mild HR may not need and operative treatment. Simple lifestyle and activity modifications including weight loss, the use of a walking aids and the avoidance of high impact activities may be all that is necessary. Mild pain killers and wearing appropriate shoe wear and orthotics designed by a podiatrist to assist the first to may all be helpful. High heels and shoes with a narrow toe box should be avoided. Occasionally cortisone injection may offer relief of inflammation but as with most treatments, the degree and extent of relief varies from patient to patient.

Operative Management

Surgery is considered when the previous measures fail. There are 2 main surgical options to relieve pain and improve quality of life. The first option includes motion preserving procedures such as joint debridement +/- osteotomy, and the alternative is an arthrodesis or fusion of the MTPJ. The best option for an individual patient depends on many factors including the severity of arthritis, the age and functional demands of the patient, and the presence of arthritis in adjacent joints. The final choice is a joint decision between surgeon and patient.

MTPJ debridement +/- osteotomy

If the HR is mild, affecting only the upper part of the joint, this upper portion may be removed and the joint washed out. This is often combined with a realignment procedure (Moberg osteotomy) of the bone at the base of the great toe (proximal phalanx). In more advanced cases, the joint debridement may be combined with resection of part of the proximal phalanx and the insertion of some of the surrounding soft tissue into the resulting cavity. This combination can provide long lasting pain relief with improved movement of the great toe in the appropriate patient. In around 20% of patients, the arthritis is progressive and symptoms may return to a point where further procedures such as joint fusion may be required.

MTPJ replacement

Artifical joints that replace the surfaces of the diseased bone (in a similar fashion to hip and knee replacements) have been used to treat advanced arthritis. However, previous implants have shown poor results and any subsequent procedures (such as fusion) have become more difficult.   

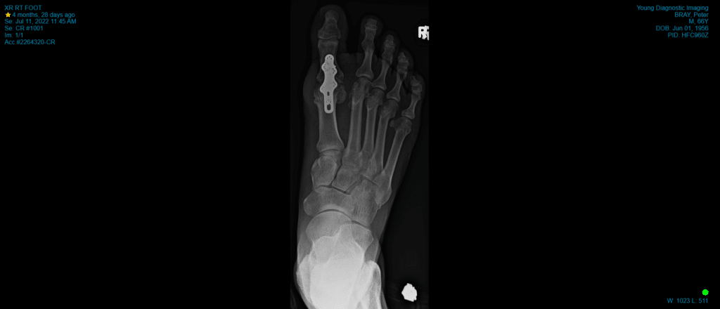
MTPJ arthrodesis (fusion)

This is the ‘gold standard’ procedure for moderate to severe arthritis. The remaining cartilage in the joint is removed, the bones on either side of the joint are fused together and held with screws in isolation or a combination of screws and a plate. 90-95% of patients will experience good pain relief with this. However, the joint is stiffened and this limits the wearing of high heels and can make running difficult. There is a small risk of developing arthritis in the next joint along the big toe but this is rarely troublesome.

Complications

Less than 5% of patients will develop a complication that may require further intervention. These include wound-healing problems, infection, damage to nerves and blood vessels, incomplete relief of symptoms, and in the case of arthrodesis, failure of the bones to knit together requiring further surgery. Recovery times and swelling also vary but can last several months. Occasionally the metal plate may require removal.

Recovery Times

Hospital stay Day only

Rest & elevation 2 weeks

Foot swelling 12 weeks

Time off work

– Seated 3-4 weeks

– Standing 6-8 weeks

Result times (pain relief & function)

– Good 3 months

– Better 6 months

– Best 12 months

Take the next step to a pain free life.

Book a consultation today for expert orthopaedic care.