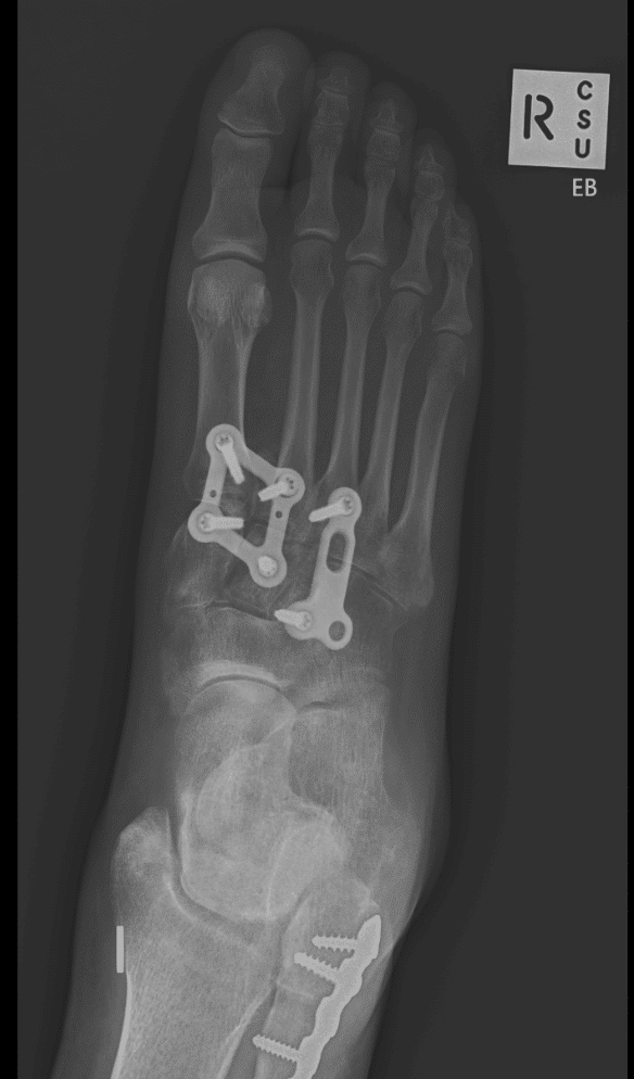
Lis Franc Stabilisation

Injury to the Lis Franc ligament complex of the foot is usually the result of a high degree of trauma to the midfoot involving a flexion or distraction of the bones and ligaments that support the important arch of the midfoot.

Management of this injury has improved in the recent years with the modernisation of treatment methods, however, the injury is still complex and can cause long term issues with function and pain so careful specialist intervention is required.

Specialised plates and implants allow for support of the healing ligament and generally can be later removed with minimal damage to the affected joints. Occasionally the injury will be so severe that the joints require fusion rather than stabilization and this will be discussed with you prior to managmement.

The long term outcome is improving however the development of some arthritis in the area is generally expected with time.

Operative Management

Surgery involves incisions on the top of the foot and mobilisation if the nerves and arteries supplying the toes. An area of numbness over the scar and distant to this is expected but will reduce with time. X-ray in the operating theatre is used to ensure the stabilisation of the affected joints and position of metal fixation which is designed so that it can stay in the foot for the long time it takes for this injury to heal.

Recovery can be slow and swelling can last many months. In the long term a custom arch support manufactured by podiatrists is usually recommended.

Complications

Less than 5% will develop a complication that may require further intervention. These include wound-healing problems, infection, damage to nerves and blood vessels, incomplete relief of symptoms, and in the case of arthrodesis, failure of the bones to knit together requiring further surgery. Recovery times and swelling also vary

Recovery Times

Hospital stay 1 night

Rest & elevation 14 days

Crutches 6 weeks

Foot swelling 12 weeks

Time off work

– Seated 3-4 weeks

– Standing 6-8 weeks

Result times (pain relief & function)

– Good 3 months

– Better 6 months

– Best 12 months

Take the next step to a pain free life.

Book a consultation today for expert orthopaedic care.